logoinvisalign

Retrouvez un sourire

Grâce à la technologie Invisalign™, vous pouvez maintenant régler tous vos problèmes d'alignement avec discretion et rapidité. Prenez RDV dès aujourd'hui pour une première consultation complète avec:

  • Bilan Photographique
  • Bilan Radiologique avec Panoramique et Téléradio de Profil.
  • Empreinte numérique pour visualisation Avant/Après de votre sourire.
  • Un devis complet avec les explications du Dr. Belissa sur votre traitement.


Prendre RDV !
dr belissa
À Propos

Dr. Simon Belissa

Chirurgien-dentiste avec un DCP en Orthodontie obtenu à l'École Supérieure d'Orthodontie de Paris. Par la suite il se formera avec un double Master en alignement par technologie Invisalign™. Depuis plus de 5 ans, le Dr. Belissa pratique l'alignement dentaire rapide et discret grâce aux gouttières.

Une Urgence ?

Mes prestations

alignement

Alignement dentaire par Invisalign™

Alignement de vos dents avec une gouttière discrète et quasi-indolore avec la technologie Invisalign™. A porter 22h/24 7j7.

blanchiment

Blanchiment dentaire

Blanchiment de vos dents avec gouttière adaptée et produit indolore.

bilan

Bilan orthodondique et orthopédique

Bilan de l'état général dento-faciale. Peut permettre de déceler différents problèmes de douleurs, migraines, tensions.

narval

Appareils de propulsion mandibulaire - NARVAL™

Appareil de lutte contre l'apnée du sommeil SAHOS. Propulse la machoire inférieur vers l'avant pour ouvrir les flux respiratoires.

interceptive

Orthodontie interceptive

Orthodontie ou appareillage mobile dès le debut de l'adolescence pour éviter une grande correction après la puberté

facettes

Facettes en céramique Emax™ feldspathiques

Facettes à coller sur vos dents au préalablement préparées. Correction de forme et anatomie dentaire.

Exemples de cas d'Orthodontie

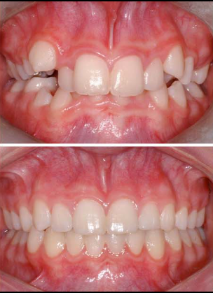
classe1

Classe I avec encombrement

Correction de chevauchement dentaire avec expansion et alignement.

classe2

Classe II

Correction du recul mandibulaire ou avancement maxillaire et alignement.

classe2-2

Classe II-2

Correction du recul mandibulaire ou avancement maxillaire et alignement. Expansion pour corriger l'hypocroissance.

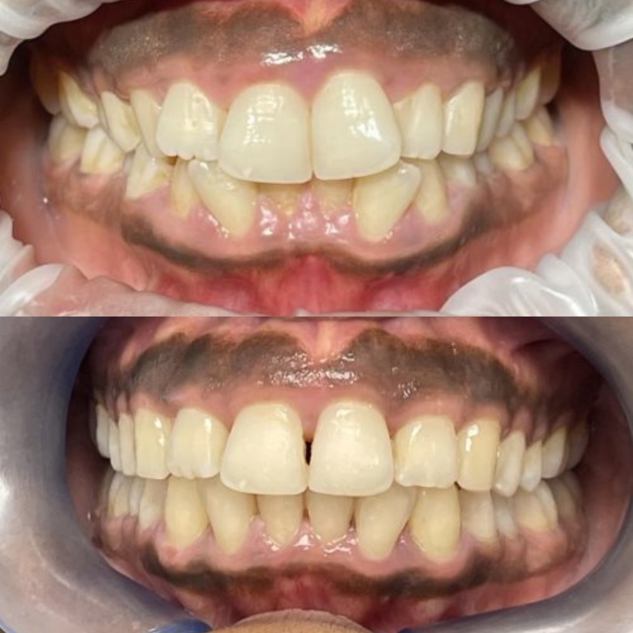
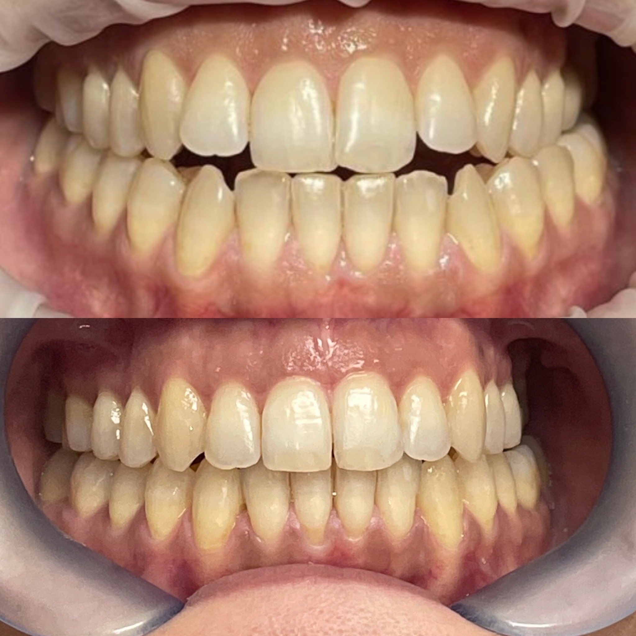
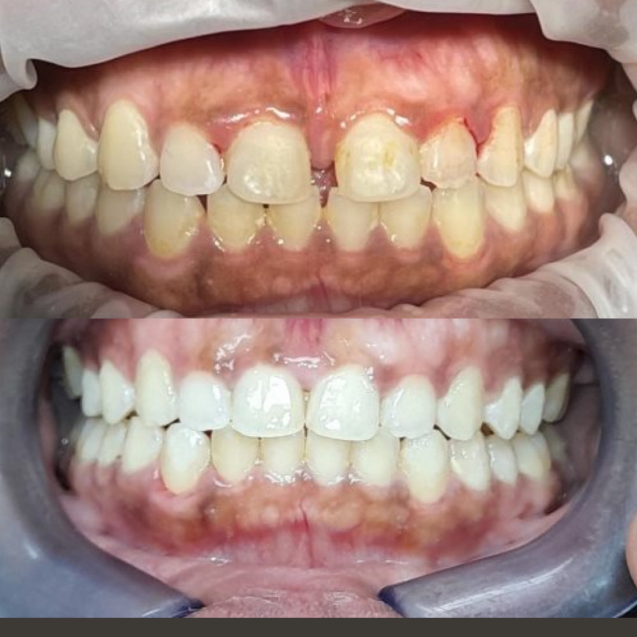
diastemes

Diastèmes - Dents du bonheur

Correction de l'espace entre les dents.

classe3

Classe III

Correction de la machoire inférieure trop en avant comparé à la machoire supérieure.

gingival

Sourire gingival

Correction de sourire laissant trop apparaitre la gencive. Se corrige très bien et les résultats sont souvent impressionnants.